Learn The Signs And Symptoms. Healthy, Beautiful Smiles For Life! Find Your Toothpaste Today! Is it possible to reverse gingivitis? How to get rid of gingivitis fast at home?

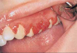
What are the symptoms of gingivitis? Trench mouth, also known as necrotizing ulcerative gingivitis (NUG), is a severe form of gingivitis that causes painful, infecte bleeding gums and ulcerations. In the early stage of gingivitis , bacteria in plaque build up, causing the gums to become inflamed and to easily bleed during tooth brushing. Although the gums may be irritate the teeth are still firmly planted in their sockets. No irreversible bone or other tissue damage has occurred at this stage.
The gum disease of gingivitis is an infection that occurs when bacteria invade soft tissues and bone adjacent to teeth. The severity of this infection varies from mild to severe and can be an indication of a life-threatening systemic disease.
However, severe gingivitis can progress to periodontitis, which will require much more diligent management. It occurs from a build-up of plaque caused by bad bacteria in the mouth. It usually presents as bleeding gums after brushing. As gingivitis is the mildest form of periodontal disease (gum disease) it can be reversed if treated early. If left without treatment, it can end up being a more severe infection known as periodontitis.
Beginning treatment early can actually clear your gingivitis , before dental complications can arise. Treatment for moderate to severe periodontal disease is more extensive, and is likely to be necessary if the gum pockets around your teeth measure in excess of 5mm. These are the pockets created during the progression of the disease , and as your gums to shrink back or pull away from your teeth. At a dental visit, a dentist or dental hygienist will: Examine your gums and note any signs of inflammation. Spitting out blood after brushing teeth.
Gum swelling that recurs. Halitosis, or bad breath, and a persistent metallic taste in the mouth. Gingival recession, resulting.
Most often, gingivitis occurs due to poor oral hygiene, plaque, and tartar buildup.

Professional treatment can reverse the condition. Periodontitis is a more severe form of gum disease in which gingivitis has worsened. The first stage of a gum infection is referred to as gingivitis. This more profound condition is recognized by severe gum disease symptoms.
Another less common gum infection is trench mouth, so called because it was first. See severe progressive periodontal disease for the next step if. If you don’t treat it, gingivitis can lead to a more serious form of gum disease called periodontitis, which can cause painful pockets of pus called abscesses. It can also lead to tooth loss.
The symptoms of ANUG are usually more severe than those of gum disease and can include: bleeding, painful gums. Periodontal disease, also known as gum disease, is a set of inflammatory conditions affecting the tissues surrounding the teeth. In its early stage, called gingivitis , the gums become swollen, re and may bleed. In its more serious form, called periodontitis, the gums can pull away from the tooth, bone can be lost,. With time, this bacteria buildup causes inflammation, called “gingivitis,” which causes gums to become re swollen, and can bleed easily.
When gingivitis is not treate.
No comments:
Post a Comment
Note: Only a member of this blog may post a comment.