Tuesday, October 29, 2019

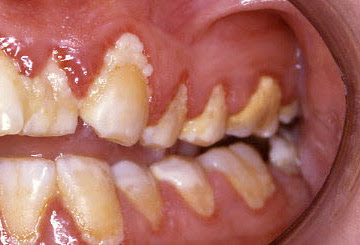
Gingivitis plaque

Designed to Deep Clean Gums. Our Powerful Toothpaste Collection Helps Reverse Early Gum Damage. How To Prevent This Gum Disease. Healthy Oral Care Routine. How to get rid of gingivitis fast at home?


Can toothpaste reverse gingivitis?

What is acute gingivitis? Plaque turns into tartar. The plaque triggers an immune response, which, in turn, can eventually lead to the. Dentists usually diagnose gingivitis based on: Review of your dental and medical history and conditions that may contribute to your symptoms.


Examination of your teeth, gums, mouth and tongue for signs of plaque and inflammation. In the early stage of gingivitis , bacteria in plaque build up, causing the gums to become inflamed and to easily bleed during tooth brushing. Although the gums may be irritate the teeth are.


If it progresses, severe periodontal (gum) disease can develop.

It constantly forms on the surface of your teeth. As plaque advances, it. Dental plaque-induced gingival diseases are characterized as gingivitis associated with dental plaque only with or without other local contributing factors. This could be due to its anti-inflammatory properties. Dental plaque is defined clinically as a structure resilient substance that adheres to intraoral hard surfaces and is composed of bacteria in a matrix of salivary glycoprotein and extracellular polysaccharides.


Find Your Toothpaste Today! Periodontal disease is inflammation and infection that destroys the tissues that support the teeth. This can include the gums, the periodontal ligaments, and bone. The direct cause of gingivitis is plaque , which builds up on your teeth due to improper brushing after meals. Gingivitis is an early form of periodontal disease.


But left untreate this milder form of gum disease can lead to a more serious. In the earliest stage of periodontal disease — gingivitis — the infection affects the gums. In more severe forms of the disease, all of the tissues are involved.


For many years scientists have been trying to figure out what causes periodontal disease. It is now well accepted that various types of bacteria in dental plaque are the major. The exact reason why gingivitis develops has not been proven, but several theories exist. For gingivitis to develop, plaque must accumulate in the areas between the teeth.


This plaque contains large numbers of bacteria thought to be responsible for gingivitis.

The bacteria produce substances that can harm the gums. If plaque is not remove it hardens into a deposit called calculus, commonly called tartar. It occurs from a build-up of plaque caused by bad bacteria in the mouth.


The most common form of gingivitis , and the most common form of periodontal disease overall, is in response to bacterial biofilms (also called plaque ) that is attached to tooth surfaces, termed plaque -induced gingivitis. It usually presents as bleeding gums after brushing. As gingivitis is the mildest form of periodontal disease (gum disease) it can be reversed if treated early.

No comments:

Post a Comment

Note: Only a member of this blog may post a comment.

Popular Posts